電話でのご予約・お問い合わせはTEL.03-3451-0840
〒106-0045 東京都港区麻布十番2-12-7ラポール麻布十番6F
入れ歯の金具・気になりませんか?
金具(バネ)を使わない新しい入れ歯です。口元が綺麗で気づかれません。
プラスチックより柔らかく口に中で馴染みます。
![]() |
⇒ | ![]() |
柔軟性のある入れ歯です。皆さんの知っている入れ歯とは異なります。欧米を中心に実績がある審美性と機能性を兼ね備えた今までにない発想の入れ歯です。従来型では金具(バネ)で支えるものが主流でしたが、入れ歯も進化し次世代型は金具(バネ)を使いません。フレキシブル義歯もその一つで、金具を必要としません。
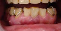
一般的なプラスチックの入れ歯です。左右の金具バネが目立ちます。
金具の無いフレキシブル義歯を装着着。目立つ金具がなくなり口元がスッキリ綺麗になりました。
上下の奥歯が欠損したケース
上下に金具の無い部分入れ歯・フレキシブル義歯を装着した状態。口元が気になりません。
前歯と左右の奥歯が欠損しています。
金具を使わないフレキシブル義歯でスッキリ快適です。基本的に歯は削りません。
歯の加工は基本的に必要ありません。普通の入れ歯は弾性のない樹脂でしたが、この入れ歯はカーボネイトやスーパーポリアミドという素材を使用します。この素材は弾性に優れ、金具がないため見た目に美しく、金属タイプや差し歯タイプの入れ歯に比べ安価です。
金具の無いソフト義歯です。食感はもちろん見た目にも良いので快適です。
ソフト義歯は、歯ぐきに接触する面に特殊加工した入れ歯です。弾力性のある軟性樹脂(シリコン状の素材)を使用しているため、歯ぐきに加わる負担を軽減させ、痛みを感じません。
ゴムのような柔らかさではありません。

金具と歯茎を覆う赤い部分がありません。入れ歯を小型化したようなブリッジと入れ歯の中間の性質を持っています。入れ歯を綺麗にしたい方や小型化したい方にお勧めします。
保険は適用されません。
ご希望の入れ歯が可能かどうかは検査が必要です。
歯の状態によっては使用できないこともあります。
〒106-0045
東京都港区麻布十番2-12-7ラポール麻布十番6F
TEL 03-3451-0840